全球试管婴儿医院在线科普学习公共服务平台

试管在线知识星球

专业为试管婴儿而打造,连接一千位试管铁杆星友

200+

成员数量

1年+

运营天数

1700+

知识内容数量

100+

问答

知识星球

试管婴儿骆先生

邀请你加入知识星球,一起学习试管知识

作者:骆先生,试管在线网站主,试管婴儿十余年从业经验,为您试管婴儿的开展保驾护航。

咨询微信: 13357280021
咨询电话: 13357280021
微信扫码加入知识星球

染色体异常

什么是染色体
染色体是细胞核的组成部分,其主要的组成部分是DNA和蛋白质,意义在于承担着记载遗传信息的载体,染色体并非是不变的,随着生物种类、细胞类型及发育阶段不同,其数量、大小和形态存在差异1。

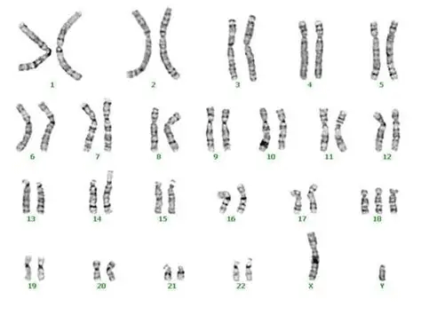
人体染色体结构图

如人类染色体,形态特征主要表现为中央着丝粒染色体、亚中着丝粒染色体、近端着丝粒染色体、端着丝点染色体这四种类型2(正常情况下人类只有前3个类型的染色体)。人体染色体共有23对,其中22对为男女所共有,另外一对为决定性别的称为性染色体,男性为XY,女性为XX。

然而随着染色体的分离,在此过程中会发生异变,最终诱发一系列的染色体异常遗传病,如21三体综合征、Down综合征、唐氏综合征、帕陶综合征等等,危害极大。

发生染色体异常的原因
其实染色体异常离我们并不遥远,据可靠数据统计大约每五百人就可能有一人是染色体异常,虽然染色体的发病机制并不明确,但经过多方面的临床观察以及分析,诱发染色体异常的原因还是有迹可循的,主要如下:

染色体异常图示

1、受到环境的影响
一般来说当人类长期处于天然辐射和人工辐射、辐射X射线照射的环境下,导致染色体异变的可能性就会非常大。

2、长期接触各种化学物质
人们在日常生活中会接触到各种天然的、人工合成的化学物质,这些对人体有害的化学物质通过饮食、呼吸或皮肤接触等途径进入人体,也会引起染色体畸变。

3、生物因素
当以病毒处理培养中的细胞时,往往会引起多种类型的染色体畸变,包括断裂、粉碎化和互换等。

长期处于辐射的环境会增加染色体异常的概率

4、母龄效应
何为母龄效应?大致说的是高龄孕妇发生染色体异变的概率非常大,一般女性年龄超过35岁,此时怀孕因为卵子发生了许多衰老变化,从而影响成熟分裂中同对染色体间的相互关系和分裂后期的行动,就促成了染色体间的不分离,最终发生异常。

随着全面二孩政策启动后,出现了许多高龄产妇,而胎儿染色体异常检出率也倍增,因此也说明胎儿染色体异常和父母年龄增长相关,父母年龄增高,胎儿出现染色体异常几率也会增加。

5、遗传
通过父亲或母亲传递而来,即由遗传而来。

染色体异常的表现
染色体异常的表现其实主要体现在宝宝身上,如果父母双方染色体异常的话就可能导致新生儿出现Down综合征、13三体综合征、猫叫综合征、环状染色体综合征、Colpocephaly综合征、Williams综合征、18三体综合征等。

染色体异常遗传病种类多

其中要数Down综合症也称21三体综合征和先天愚型,出现的频率最多,一般新生儿发病率为1/700~1/600,是精神发育迟滞最常见的原因,占严重智力发育障碍病例的10%。

染色体是检查什么
由于染色体异常治愈是非常困难的,因此只能提前预防,一般高龄孕妇都会要求推行婚检、遗传咨询、染色体检测、产前诊断等预防方法,如果确定有生出患儿的危险,那么可选择性人工流产等措施,防止患儿出生。关于染色体检查具体如下:
1、实验室检查
2、产前检查
3、其他辅助检查

染色体异常造成的危害
讲完了染色体检查的种类,这里再来说说危害,一般“染色体非整倍性”即染色体异常,是导致人类不孕不育、流产、胚胎停育及胎儿缺陷的主要原因3。除此外最坏的危害就是让出生的宝宝天生就带有缺陷了,并且这种缺陷往往是致命,很难治愈的。

造成流产、死胎和畸胎

1、唐氏症候群
又名先天愚型,染色体异常疾病中的一种,临床特征表现为新生儿两眼分得较开、外眼角往上扬、嘴巴常开且舌头伸出来等,会导致包括学习障碍、智能障碍和残疾等高度畸形。

2、爱德华氏症
一般指18三体综合征是次于先天愚型的第二种常见染色体三体征,主要症状为新生儿发育迟缓、后部头颅突出、小型头颅畸形、兔唇、颚裂、指甲发育不全等。

3、巴陶氏症
出现这类疾病,表明这些婴儿有很严重的异常,一般往往会活不过周岁,即使活过周岁,也是重度智障,因此多半不考虑积极的治疗。

染色体异常怎么办,能治吗
一般来说大多数染色体异常的治疗方法最终效果都不理想,因此只能提前预防、防微杜渐,在生育早期要做好染色体检测、产前诊断等,如果有生出患儿的危险,可选择性人工流产等措施,防止患儿出生,当然日常也可通过以下方法来预防染色体异常。

目前治疗以症状治疗及器官畸形矫正为主,基因治疗、细胞治疗、替代治疗也正发展中,但是染色体异常治疗困难,疗效不满意。

1、产前检查
首先孕妇要定期做产前检查,如果胎儿有问题,可选择人工流产避免患儿出生,一般抽羊水诊断是能检验胎儿是否患有先天染色体缺陷的其中一个方法。

双方染色体检查大约在600-800元左右

2、良好生活习惯
培养良好的社会生活习惯,远离有毒素、辐射等环境,降低导致染色体异常的风险。

哪些人容易染色体异常
1、经过多年的临床观察,一般平时工作从事重化工类型的工作,且在有放射性物质的情况下,工作人员出现染色体异常的情况,是比较常见的;
2、还有经常生活在环境污染比较严重的地方,进而增加染色体异常的发生几率;
3、另外就是遗传和人体基因突变,这些都是需要注意到,以免有更加严重的问题。

以上这些人在生活中需要多注意下,尽量避开令染色体异常的因素,同时如果发现有异常的症状时建议到正规的医疗机构进行检查,以免导致病情被延误。

2025.08.22 34

试管婴儿圈子

提供最具性价比的试管婴儿包成功攻略指南

试管婴儿助孕群
高龄备孕试管群
绝经生育试管群
失独再生育群
试管星球社群
微信扫码加入

试管婴儿百科体系

排名
分类名称
文章数量
1
55篇
2
46篇
3
44篇
4
31篇
5
24篇
6
18篇
7
18篇
8
17篇
9
13篇
10
6篇

试管星友共同好孕

高品质知识社群

试管问题有问必答

微信扫码加入知识星球

微信知识星球社群让您全方面了解试管婴儿技术、流程、费用、成功率、注意事项、防骗等相关信息。

骆先生微信号:13357280021

试管在线知识星球

专业为试管婴儿而打造,连接一千位试管铁杆星友

200+

成员数量

1年+

运营天数

1700+

知识内容数量

100+

问答

知识星球

试管婴儿骆先生

邀请你加入知识星球,一起学习试管知识

作者:骆先生,试管在线网站主,试管婴儿十余年从业经验,为您试管婴儿的开展保驾护航。

咨询微信: 13357280021
咨询电话: 13357280021
微信扫码加入知识星球